The Data on Microplastics is Truly Horrifying
And the bad news is it's getting much worse.
If you told the average denizen of the 18th century, let’s say New York in 1879, that there is a swirl of shapeless, invisible particles that are progressively disrupting their neuro-chemistry, hormones, reproductive systems, inflammatory responses, and that never leave your body, their mouths would be agape in horror. They’d call it a cheesy plot for 5 cent sci-fi pulp magazines sold on street corners. In the modern era, we’d just shrug our shoulders. Too many problems, too little time to think about it.
There is a sense that people do not truly understand the depths to which we are affected by these small plastic particles, or simply resign ourselves because it can’t be helped (actually, it can—more about that later).
Now it may be time to pay attention. Data is piling in, showing that the problem is accelerating.
Our Generation’s Lead Pipes
Much like our hypothetical time travel example earlier, we’d all be horrified at the levels of lead exposure the average person in the 1800’s was subjected to. Lead was used in makeup, paint, pipes, plates, it was basically everywhere.
Lead exposure in the 19th and 20th centuries quietly poisoned entire populations from the urbane capitals of Europe to mid-century American suburbs. The CDC estimates that virtually every child born in the U.S. before the 1980s had measurable lead levels in their blood that today would be considered toxic. The neurological and developmental toll was staggering: decreased IQ, increased aggression, cognitive impairment; all from a substance we couldn’t see, taste, or feel in real time.
Microplastics may well be our generation’s lead pipes.
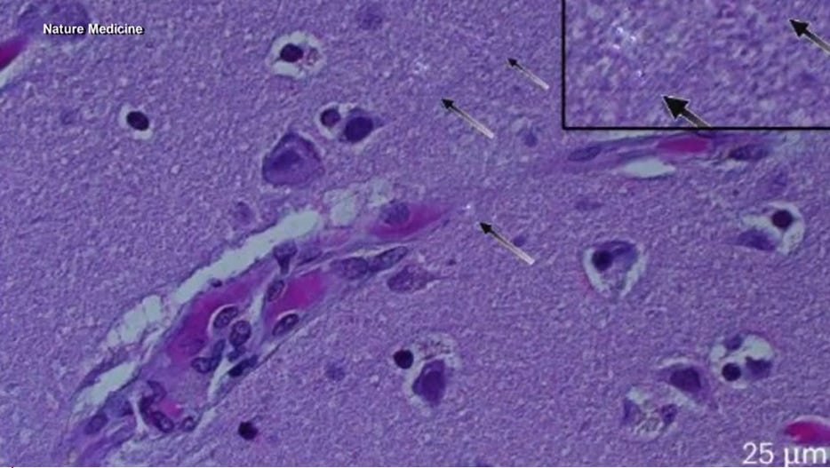
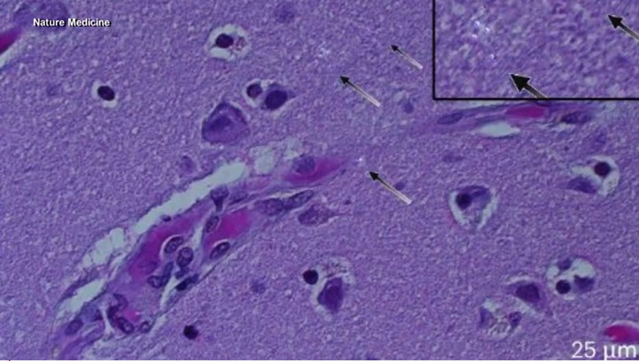
Recent studies show that these synthetic particles, smaller than a grain of sand, have infiltrated every ecosystem on Earth — and, alarmingly, our own bodies. Researchers at the University of Vienna found microplastics in 100% of human placentas they examined. Another study from the Netherlands and the UK detected microplastics in human blood for the first time, with traces of PET (used in bottles) and polystyrene (used in packaging) making up the bulk of the particles (Leslie et al., Environment International, 2022).
And the more we look, the worse it gets. Microplastics have been discovered in lungs, livers, kidneys, and even breast milk. Scientists at UC Irvine recently revealed that bottled water can contain up to 100 times more nanoplastics than previously believed — as many as 240,000 particles per liter. In other words, a single sip may deliver a microscopic storm of synthetic debris directly into our bloodstream.
What’s most insidious is that these particles don’t just sit idle. They seem to act like biochemical Trojan horses. Many plastics contain additives like phthalates and bisphenol A (BPA), known endocrine disruptors that block hormones such as estrogen and testosterone. Exposure has been linked to declining sperm counts, early puberty, thyroid dysfunction, and higher rates of certain cancers.
And yet, as with lead a century ago, society’s response is strangely muted. The plastics industry — a $600 billion global juggernaut, has perfected the same strategy the lead and tobacco industries once used: sow doubt, deflect blame, and fund “more research” while externalizing the costs onto the public. ExxonMobil, Dow, and DuPont continue to expand production, and experts are projecting a 100% increase in global plastic output by 2060. Recycling, touted as the moral salve of modern consumerism, turns out to be little more than an illusion; less than 9% of plastic ever produced has been recycled.
The parallels to lead are eerie. For decades, lead paint and gasoline companies knew the harm but buried the evidence. Only after a generation of children was poisoned did public health finally intervene. We may be walking that same path again — only this time, the poison isn’t confined to our walls or pipes. It’s in the air we breathe, the water we drink, the food we eat, and the flesh we inhabit.
But it doesn’t have to stay this way.
The Plasticeous Epoch
The EU has already moved toward restricting microplastics in cosmetics and industrial applications. Some countries, like Canada and New Zealand, have banned certain microbeads outright. Yet what’s truly needed is systemic: cutting plastic production at the source, holding petrochemical giants accountable, and accelerating research into biodegradable alternatives and filtration technologies that can remove micro- and nanoplastics from water systems.
As the data mounts, it’s becoming quite clear that we’re living through a slow-motion public health emergency; one that future generations will likely regard with the same disbelief we feel about lead poisoning today. And future archeologists might refer to it as the “Plasticeous” period. The difference is that we can still act before the full scale of damage is done.
Because when historians look back on the 21st century, they might not call it the Age of Information — but the Age of Plastic with it’s own geological epoch.
How Do We Address This?
Confronting this ubiquitous contamination requires first discarding a comforting delusion: that better recycling bins can scrub the biosphere. The notion that folks can simply sort their way out of a planetary crisis is a fallacy that the plastics industry has spent millions to cultivate. The reality is far starker. Plastic pollution is not a failure of waste management; it is a market failure of staggering proportions.
The fundamental economic distortion is that the price of virgin plastic reflects none of its true costs. A manufacturer pays for the oil and the refining, but the bill for the carcinogenic fallout, the disrupted endocrine systems, and the microplastics lodging in human arteries is picked up by the public health systems of the world. To address this, governments must force the industry to internalize these externalities. The most potent instrument currently on the table is the United Nations Global Plastics Treaty. For this accord to be more than diplomatic theater, it must impose hard, legally binding caps on global plastic production. Without a “turn off the tap” strategy, any attempt to clean the oceans is akin to mopping the floor while the bathtub overflows.
Parallel to production caps, the mechanism of Extended Producer Responsibility (EPR) must be ruthlessly applied. Currently, the producers of single-use polymers enjoy a free ride, passing the disposal burden onto municipalities and taxpayers. Shifting this cost back to the balance sheets of corporations and charging them for the lifecycle of every bottle and wrapper—would incentivize a rapid pivot toward glass, aluminum, and truly biodegradable alternatives. Innovation, too, has a role, though it is no panacea. Promising research into enzymes and bacteria that can digest PET offers a glimmer of hope, but relying on a technological deus ex machina to consume our waste is a gamble humanity cannot afford to make.
On a personal level, while the individual cannot legislate the petrochemical giants into submission, one can adopt a strategy of defensive mitigation. The data suggests that ingestion via water and the heating of food in plastic containers are the primary vectors of high-dose exposure. Filtration systems, specifically reverse osmosis, and a strict embargo on microwaving polymers, seem like the place to start.
Ultimately, the “Plasticeous Epoch” need not be a permanent geological sentence. The eradication of lead from gasoline and paint demonstrates that when the body of evidence becomes undeniable, the legislative pen can be mightier than the industrial lobby. The data is now screaming that we have reached such a juncture. The question remains whether our political institutions possess the fortitude to prioritize the biology of the citizen over the convenience of the consumer. If they do not, the legacy of the 21st century will not be the civilization we built, but the synthetic residue we left behind.
We are flesh, we are grass, we are the pulse of the living world, and we can shake off this synthetic slumber. Let us rise, and scrub the film from our eyes, and demand a world that is once again made of the world.






When I was at school in the 1960s, we looked at the "ages of mankind". The Stone Age, the Bronze Age and the Iron Age, the last of which some bright class member raised with the teacher: "Are we still in the Iron Age today?" "Yes, technically," was the reply, "But I would say rather that we are today in the Plastic Age." It'd be about 1969, and the perspicacity for that time is astonishing when we now look back. It was an age when groceries were packaged in paper and cardboard, when milk bottles were returned, washed and refilled, and when petrol had lead in it: a conscious decision to poison the world in order to make car engines run smoothly. Shortly thereafter, 3M developed its Teflon coatings, researched their poisonous potential, discovered that potential, and smothered its research.
Meanwhile, we kids amused ourselves playing Cluedo: in that time, whoever did it in the Ballroom with the lead piping had a real piece of lead piping as their token in the game. One wonders whether all the furore about class A drugs is even worth the effort, given the facility and ease with which man has for centuries poisoned his children with everyday objects.
Such a terrific article, thank you! Yes, the petrochemical industry decided years ago to slap "recyclable" symbols on their products. They thereby declared, "tag, you're it," completely shoving the responsibility for disposal of their nonbiodegradeable products onto governments and consumers. They continue to blather on about improving recycling (but not their job) and continue to increase production of virgin plastic (which often uses byproducts of fracking). Trump/MAGA attacks on any and all environmental regulations are making this worse. Of course. Time for regular people and sane normal government to be back in charge! Again, appreciate the article, there is so much coming at us important issues like this are not getting enough attention.